Todo lo que debes saber sobre las carillas dentales

Las carillas dentales son una solución estética popular para mejorar la apariencia de los dientes. Estas delgadas láminas de porcelana o resina se adhieren a la parte frontal de los dientes, ofreciendo una sonrisa más blanca, alineada y uniforme. Este tratamiento es ideal para quienes buscan corregir problemas estéticos como dientes manchados, desalineados o con formas irregulares.

¿Qué son las carillas dentales?

Las carillas dentales son cubiertas delgadas y personalizadas, hechas de porcelana o resina compuesta, que se adhieren a la superficie frontal de los dientes. Este procedimiento estético es ideal para mejorar la forma, tamaño, color y alineación de los dientes, proporcionando una apariencia natural y atractiva.

Beneficios de las carillas dentales

Las carillas dentales ofrecen numerosos beneficios, entre los que se incluyen:

  • Mejor apariencia: Las carillas pueden corregir manchas, decoloraciones, desgastes y otras imperfecciones.
  • Solución rápida: El proceso de colocación es relativamente rápido y puede completarse en pocas visitas al dentista.
  • Durabilidad: Con el cuidado adecuado, las carillas pueden durar muchos años, resistiendo manchas y desgaste.
  • Resultados naturales: Las carillas están diseñadas para imitar el aspecto y la sensación de los dientes naturales.
  • Mejora de la confianza: Una sonrisa más blanca y alineada puede aumentar la autoestima y la confianza en uno mismo.

El proceso de colocación de carillas dentales

El proceso de colocación de carillas dentales generalmente incluye varias etapas:

  • Consulta inicial: El dentista evaluará tus dientes y discutirá tus objetivos estéticos.
  • Preparación del diente: Se retira una pequeña cantidad de esmalte dental para hacer espacio para las carillas.
  • Impresión dental: Se toma una impresión de los dientes para crear carillas personalizadas que se ajusten perfectamente.
  • Colocación de las carillas: Las carillas se adhieren a los dientes utilizando un cemento dental especial, y se ajustan y pulen para lograr el aspecto deseado.

Cuidados postoperatorios

Para mantener tus carillas en buen estado y prolongar su vida útil, sigue estos cuidados postoperatorios:

  • Practica una buena higiene oral, cepillando y usando hilo dental regularmente.
  • Evita morder objetos duros, como hielo o lápices, que puedan dañar las carillas.
  • Limita el consumo de alimentos y bebidas que puedan manchar, como café, té y vino tinto.
  • Asiste a revisiones regulares con tu dentista para monitorear y mantener tus carillas.

Encuentra un especialista en carillas dentales en Duluth

Si estás interesado en mejorar tu sonrisa con carillas dentales en Duluth, Omni Family Dental puede ayudarte. Nuestro equipo de profesionales experimentados se dedica a proporcionar un cuidado dental excepcional y personalizado. ¡Contáctanos hoy para programar una consulta y descubre cómo las carillas dentales pueden transformar tu sonrisa!

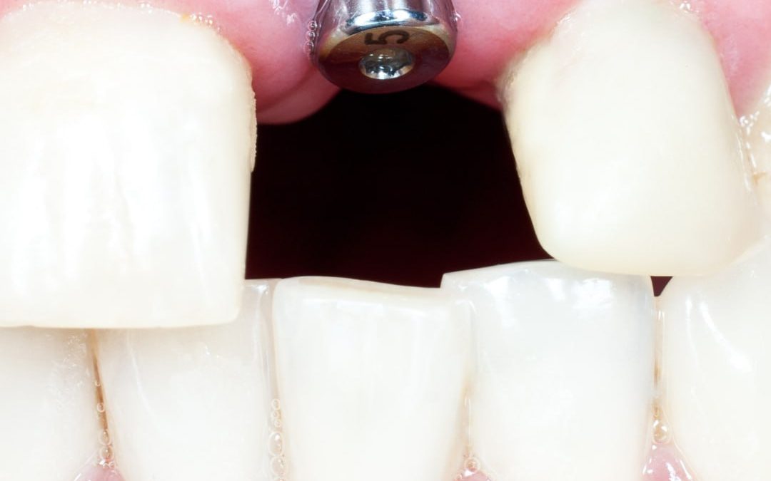
Todo lo que necesitas saber sobre los implantes dentales

Los implantes dentales son una solución moderna y efectiva para reemplazar dientes perdidos, proporcionando una base sólida para dientes artificiales que lucen, se sienten y funcionan como dientes naturales.

Este procedimiento es cada vez más popular debido a sus numerosos beneficios, que incluyen una mejor apariencia, comodidad y funcionalidad.

¿Qué son los implantes dentales?

Los implantes dentales son postes de metal, generalmente de titanio, que se insertan quirúrgicamente en el hueso de la mandíbula. Estos postes actúan como raíces de dientes artificiales sobre los cuales se pueden montar coronas, puentes o prótesis dentales, ofreciendo una solución permanente y estable para reemplazar dientes faltantes.

Beneficios de los implantes dentales

Optar por implantes dentales puede ofrecer una serie de beneficios importantes:

  • Mejor apariencia: Los implantes dentales se integran perfectamente con el resto de tus dientes, ofreciendo una apariencia natural.
  • Mayor comodidad: A diferencia de las prótesis removibles, los implantes dentales no se mueven ni causan irritación en las encías.
  • Funcionalidad mejorada: Permiten masticar y hablar con mayor facilidad, ya que funcionan como dientes naturales.
  • Durabilidad: Con el cuidado adecuado, los implantes dentales pueden durar toda la vida.

El proceso de colocación de implantes dentales

El proceso de colocación de implantes dentales generalmente se realiza en varias etapas:

  1. Evaluación inicial: El dentista realiza una evaluación completa de la boca, incluyendo radiografías, para planificar el procedimiento.
  2. Colocación del implante: El poste de titanio se inserta quirúrgicamente en el hueso de la mandíbula.
  3. Osseointegración: El implante se fusiona con el hueso durante un período de varios meses, proporcionando una base sólida.
  4. Colocación de la corona: Una vez que el implante está firmemente integrado, se coloca una corona personalizada sobre el poste.

Cuidados postoperatorios

Después de la colocación de implantes dentales, es importante seguir las indicaciones del dentista para asegurar una recuperación exitosa:

  • Mantener una buena higiene oral, cepillando y usando hilo dental regularmente.
  • Evitar alimentos duros o pegajosos que puedan dañar el implante.
  • Asistir a citas regulares con el dentista para revisiones y limpiezas profesionales.

Encuentra un especialista en implantes dentales en Duluth

Si estás considerando implantes dentales en Duluth, Omni Family Dental ofrece atención especializada para ayudarte a recuperar tu sonrisa. Nuestro equipo de profesionales está dedicado a brindar el mejor cuidado dental con un enfoque personalizado y compasivo. ¡Contáctanos hoy mismo para programar una consulta y comenzar tu camino hacia una sonrisa más saludable y segura!

¿Por qué sufrimos de dolor de muelas?

¿Por qué sufrimos de dolor de muelas?

El dolor de muelas es una experiencia desagradable y, en ocasiones, debilitante que puede afectar significativamente la calidad de vida de una persona. Este tipo de dolor, a menudo localizado alrededor de los dientes o las encías, puede variar en intensidad y duración, y puede ser causado por una serie de factores subyacentes. Entender qué es el dolor de muela, sus diferentes tipos, posibles causas y opciones de tratamiento es fundamental para aquellos que buscan alivio y cuidado dental adecuado.

¿Qué es el dolor de muelas?

El dolor en las muelas es una sensación incómoda, punzante o pulsátil que afecta a los dientes, las encías o las estructuras circundantes en la cavidad oral. Este dolor puede ser agudo o crónico y puede variar en intensidad, desde una molestia leve hasta un malestar extremo que dificulta comer, hablar o dormir.

Tipos de dolor de muelas

Existen diferentes tipos de dolores en las muelas, cada uno con sus propias características:

  • Dolor agudo: Este tipo de dolor en las muelas aparece repentina y violentamente y muchas veces es causado por una caries profunda, infección dental o por un absceso.
  • Dolor crónico: El dolor dental crónico es persistente y puede durar mucho tiempo.
  • Puede ser causado por un problema subyacente como rechinar los dientes, periodontitis o una lesión en la mandíbula.
  • Dolor referido: En algunos casos, el dolor en las muelas puede extenderse a otras áreas de la cabeza y el cuello, como la oreja, la mandíbula y la garganta. Esto se llama dolor referido y puede resultar confuso para los pacientes y los dentistas a la hora de determinar la causa.

Causas del dolor de muelas

Existen varias causas de dolor en las muelas, entre ellas:

  • Caries
  • Infección Dental
  • Absceso Dental
  • Trauma Dental
  • Rechinar los Dientes
  • Enfermedad Periodontal
  • Problemas Dentales
  • Articulación Temporomandibular (ATM)

Posibles Tratamientos o Procedimientos

La gravedad del dolor en la muela depende de la base Depende de la Causa y gravedad del dolor. Las opciones de tratamiento comunes incluyen:

  • Empastes dentales para tratar caries
  • Endodoncias para infecciones dentales
  • Extracciones dentales para dientes gravemente dañados
  • Antibióticos para tratar infecciones bacterianas
  • Analgesia para reducir el dolor y la inflamación y agentes antiinflamatorios
  • Terapia de calor o enfriamiento para reducir el dolor y la inflamación para aliviar molestias
  • Protectores bucales para evitar rechinar los dientes
  • Limpieza dental profesional para tratar la enfermedad periodontal

Dónde encontrar un odontólogo en Duluth

Si estás buscando alivio del dolor en las muelas en Duluth, Georgia, no busques más. En Omni Family Dental, ofrecemos atención dental de calidad con un enfoque en el bienestar y la comodidad del paciente. Nuestro equipo de profesionales altamente capacitados está dedicado a proporcionar cuidado dental compasivo y efectivo para ayudarte a recuperar tu sonrisa sin dolor. ¡Contáctanos hoy mismo para programar una cita y dejar atrás el dolor de muelas!

Limpieza Dental: Procedimiento odontológico

Limpieza Dental: Procedimiento odontológico

La limpieza dental es una parte fundamental de la salud bucal y desempeñan un papel crucial en la prevención de enfermedades dentales y la promoción de una sonrisa radiante. Estos procedimientos no solo eliminan la placa y el sarro de los dientes, sino que también ayudan a prevenir la acumulación de bacterias que pueden causar caries, enfermedades de las encías y otros problemas dentales.

Beneficios de las Limpiezas Dentales

  • Prevención de Problemas Dentales: Las limpiezas dentales regulares ayudan a prevenir la acumulación de placa y sarro, lo que puede conducir a caries, enfermedades de las encías y otros problemas dentales.
  • Eliminación de Manchas: Durante una limpieza dental, se eliminan las manchas superficiales de los dientes, lo que ayuda a mantener una sonrisa brillante y blanca.
  • Mejora del Aliento: Al eliminar las bacterias que causan mal aliento, las limpiezas dentales ayudan a mantener un aliento fresco y agradable.
  • Promoción de la Salud General: La salud bucal está estrechamente relacionada con la salud general del cuerpo. Al prevenir problemas dentales, las limpiezas dentales pueden contribuir a una mejor salud en general.

Proceso de limpieza dental

La limpieza dental es un procedimiento que necesita del el uso de herramientas especiales por parte de un odontólogo. Estas se utilizan para eliminar la placa,el sarro de los dientes y debajo de la línea de las encías. También se puede realizar un procedimiento de pulido para eliminar las manchas superficiales y alisar la superficie de los dientes.

Pasos básicos

Examen dental: Los odontólogos primero realizan exámenes dentales para evaluar la salud general de su boca. Y así identificar cualquier problema dental existente.
Eliminación de placa y sarro: Se utiliza una herramienta especial llamada escalador. Se emplea para eliminar la placa y el sarro de los dientes y debajo de la línea de las encías.
Pulido: Después de eliminar la placa y el sarro, se realiza el pulido. Necesario para alisar la superficie del diente y eliminar la decoloración de la superficie.
Consejos para el cuidado en el hogar: Su odontólogo le brindará todas las recomendaciones necesarias para mantener una buena higiene dental en el hogar. Incluidas técnicas de cepillado y uso de hilo dental.

Tipos de Limpiezas Dentales: Adaptando el Tratamiento a tus Necesidades

  1. Limpiezas Dentales de Rutina:
    • Son las más comunes y se realizan regularmente.
    • Eliminan la placa y el sarro de la superficie dental.
    • Previenen la caries y la enfermedad de las encías.
  2. Limpiezas Dentales Profundas (Curetajes):
    • Recomendadas para pacientes con enfermedad periodontal.
    • Se enfocan en limpiar bolsas periodontales y alisar las raíces dentales.
    • Ayudan en la curación y previenen la progresión de la enfermedad.
  3. Limpiezas Preoperatorias:
    • Realizadas antes de procedimientos como implantes dentales o ortodoncia.
    • Garantizan una boca libre de placa y sarro antes de la cirugía.
    • Reducen el riesgo de complicaciones y promueven una recuperación más rápida.

Anestesia durante una Limpieza Dental

Generalmente, las limpiezas dentales no requieren anestesia, ya que son procedimientos no invasivos y generalmente no causan molestias significativas. Sin embargo, si el paciente experimenta sensibilidad dental o ansiedad durante la limpieza, el dentista puede ofrecer opciones de anestesia local para mayor comodidad.

¿Dónde Encontrar Servicios de Limpieza Dental en Duluth?

En Duluth, Georgia, puedes encontrar servicios de limpieza dental de alta calidad en OMNI Family Dental. Con un equipo de profesionales dedicados a la salud bucal de sus pacientes. OMNI Family Dental ofrece limpiezas dentales con la más alta calidad de atención y cuidado. Agenda una cita hoy mismo para mantener tu sonrisa fresca, saludable y radiante.

Coronas y Puentes Fijos: Restauración y Funcionalidad

Coronas y Puentes Fijos: Restauración y Funcionalidad

Las coronas y puentes fijos son tratamientos esenciales en odontología. Destinados a restaurar la función y la estética dental en casos de dientes dañados, perdidos o debilitados. Estas soluciones no solo ofrecen una reparación duradera y estéticamente agradable. Sino que también desempeñan un papel fundamental en la preservación de la estructura dental y la salud bucal general del paciente. Al proteger los dientes debilitados y prevenir la progresión de problemas adicionales, como la pérdida ósea. Estas restauraciones contribuyen significativamente a la mejora de la calidad de vida del paciente y su bienestar emocional.

En otras palabras, las coronas y puentes fijos proporcionan soluciones tanto funcionales como estéticas para los problemas dentales. Al tiempo que desempeñan un papel crucial en la preservación de la salud bucal y la autoestima del paciente. Estas restauraciones ofrecen una reparación duradera y natural para los dientes dañados o perdidos. Promoviendo la integridad del arco dental y la funcionalidad masticatoria, lo que mejora significativamente la calidad de vida del paciente a largo plazo.

Tipos de Restauraciones Dentales

Coronas Dentales:

Las coronas dentales, también conocidas como «fundas», son cubiertas protectoras que se colocan sobre un diente dañado o debilitado para restaurar su forma, tamaño, fuerza y apariencia. Estas coronas pueden estar hechas de diversos materiales, como porcelana, metal o una combinación de ambos. Y se personalizan para adaptarse perfectamente a la boca del paciente.

Puentes Fijos:

Los puentes fijos son restauraciones diseñadas para reemplazar uno o varios dientes perdidos al unir un diente artificial (pontic) a los dientes adyacentes naturales o a las coronas que los cubren. Estos puentes proporcionan una solución permanente y estética para restaurar la función masticatoria y mantener la alineación dental adecuada.

Proceso

El proceso de colocación de coronas y puentes fijos generalmente involucra varias visitas al odontólogo:

  1. Evaluación y Preparación: En la primera visita, el odontólogo evalúa la condición dental del paciente. Luego, prepara los dientes que recibirán las coronas o servirán como pilares para el puente. Se toman impresiones de la boca para crear restauraciones personalizadas.
  2. Administración de Anestesia: Antes de cualquier procedimiento. Se administra anestesia local para garantizar la comodidad del paciente durante la preparación y colocación de las coronas o puentes fijos.
  3. Fabricación de Restauraciones: Las impresiones se envían al laboratorio dental, donde se fabrican las coronas y puentes fijos según las especificaciones del odontólogo.
  4. Colocación Definitiva: En la segunda visita, las coronas y puentes fijos se colocan y se ajustan para garantizar un ajuste perfecto y una oclusión adecuada. Una vez satisfecho con el resultado, el odontólogo cementa las restauraciones en su lugar de forma permanente.

Cuidados Posteriores a la Colocación

Después de colocar coronas y puentes fijos, es importante seguir las instrucciones del odontólogo para garantizar su durabilidad y funcionalidad a largo plazo. Esto puede incluir:

  • Mantener una buena higiene oral mediante cepillado y uso de hilo dental regular.
  • Evitar masticar alimentos duros o pegajosos que puedan dañar las restauraciones.
  • Programar visitas regulares al odontólogo para chequeos y limpiezas profesionales.

¿Dónde Encontrar un Odontólogo para Coronas y Puentes Fijos en Duluth?

Para recibir tratamiento de coronas y puentes fijos en Duluth, Georgia, puedes confiar en la experiencia y dedicación de OMNI Family Dental. Con un equipo de profesionales comprometidos con la salud y la sonrisa de sus pacientes. OMNI Family Dental ofrece servicios de restauración dental de alta calidad para satisfacer las necesidades individuales de cada persona. Agenda una consulta hoy mismo y da el primer paso hacia una sonrisa renovada y funcional.